手術症例

猫肘脱臼 の症例

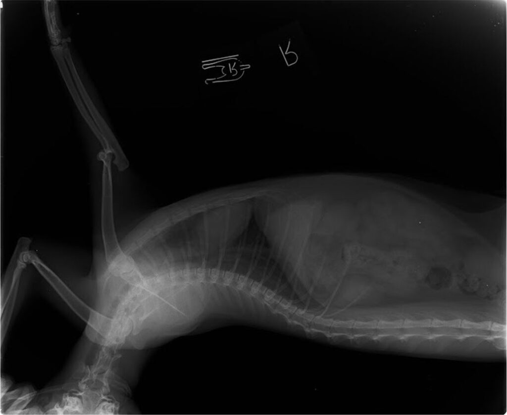
 症状

階段から落下して
右ひじ外側脱臼

年齢:1歳

性別:

診断名:右ひじ外側脱臼

手術例:2020年1月手術

 予後

術後1か月経過良く患肢をついている。

ペットの病気や健康に関すること、お急ぎのご質問・治療費に関するご質問はお電話で承ります。お気軽にご相談ください。

 092-595-1141

受付時間:平日9:00-19:00

前へ 一覧ページに戻る 次へ
健康診断 初めてペットを飼う方へ 求人情報はこちら page top
美容
メニュー
ペット
ホテル
お問い
合わせ
0925951141 page top

美容メニュー

ペットホテル

お問い合わせ